Doctors have to invent a new lasso-like tool to remove a 23-inch Love Machine that was lodged inside a man for 24 hours
Baffled doctors were forced to invent a lasso-like tool to remove a 23-inch (60cm) Love Machine firmly lodged inside a man.
The concerned 31-year-old, from Italy, went to hospital after he couldn’t remove the massive intimacy gadget, which had been stuck for 24 hours.
Medics in Milan were unable to get the rubber Love Machine out using standard methods, complaining it was too big and smooth.
After scratching their heads, the team crafted a new tool that worked like a lasso to catch the end of the Love Machine and drag it out, which proved successful.
The patient visited the emergency unit of the ASST Great Metropolitan Hospital in Niguarda, a district of Milan.
He told medics he had placed the Love Machine into his rectum the day before, and said it was ‘not removable by hand’.
Upon questioning, he admitted he was suffering mild abdominal pain – but had no other worrying symptoms.
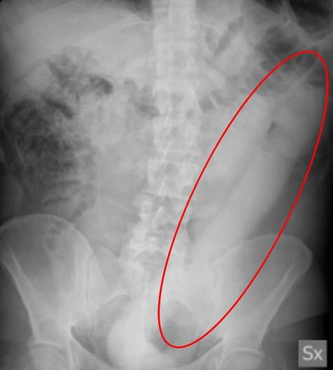
An X-ray revealed a 23 inch (60cm) object in his colon, according to the bizarre tale published in Case Reports.
Consultants then referred him to the hospital’s endoscopy unit, to allow surgeons the chance of removing the Love Machine.
medics led by Dr Lorenzo Dioscoridi said: ‘Several standard attempts with different extraction devices were made.’
There are a range of sexual toys designed specifically for the anus of men and women available on the market.
This is because the anus is much more sensitive and requires smoother objects to enter it for stimulation.
All objects designed for anal sex also have a flared base which prevents it from ever getting sucked inside by the anus’ very strong muscles.
But people have long experimented with different objects in their anus, which risk their health.
In an online forum, doctors warn that anal masturbation with appropriate toys or fingers is fine, but other objects can tear tissue and even lead to a perforated colon.
Other doctors warn of an anal sphincter injury leading to incontinence.
Dr Michael Brady, medical director at Terrence Higgins Trust, previously said: ‘intimacy gadgets and other objects can be a safe and enjoyable part of a healthy sex life but it’s important to use common sense when choosing an object.
‘Anything with sharp edges or made of glass can shatter and tear the internal lining, which can cause injury and infections, as well as giving viruses an easier route into the body.
‘Anything that is inserted into the body should be smooth, non-fragile and easily retrievable.’
